Dia Mundial de Luta Contra a Malária: Belém registra mais de 20 casos em dois meses e tem dia 'D' de combate à doença
A Secretaria Municipal de Saúde (Sesma) promove na segunda-feira (25) o dia “D” de combate à Malária em Belém, como parte da campanha realizada durante o mês de abril. A Organização Mundial de Saúde (OMS) instituiu a data como o 'Dia Mundial de Luta Contra a Malária'. Em dois meses, a capital paraense teve 23 casos da doença - veja mais abaixo.
A programação do dia 'D' vai ocorrer no Solar da Beira, das 8h às 13h, com abordagem educativa por meio de folders, estande expositivo em 3D sobre prevenção, diagnóstico e tratamento de malária aos usuários, coleta de lâminas para diagnóstico de malária na população que transita da feira




Cientistas do Centro de Pesquisa em Processos Redox em Biomedicina (Redoxoma) descobriram novos inibidores da enzima mieloperoxidase (MPO), envolvida em vários processos inflamatórios.
Pesquisa desenvolvida na Faculdade de Medicina da Universidade de São Paulo (FM-USP) e publicada na revista Immunity & Ageing coloca a doença pulmonar obstrutiva crônica (DPOC) entre as que levam a um envelhecimento precoce do sistema imunológico. O achado pode ser um caminho para explicar o motivo de indivíduos com a doença apresentarem menor resposta a vacinas e serem mais suscetíveis a processos infecciosos, por exemplo.
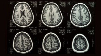
Um grupo internacional de cientistas, incluindo brasileiros, reuniu 123.984 exames de ressonância magnética para mapear o desenvolvimento do cérebro humano desde as primeiras semanas do feto até os 100 anos de idade. Com esse banco, foram montados gráficos que mostram a evolução cerebral ao longo dos anos, incluindo fases de rápida expansão no início da vida e de redução do tamanho do órgão durante o envelhecimento.