Bem-vindos ao site do Focep!


 

Prev Next Page:

Desafios e Perspectivas no Registro de Genéricos veterinários

Notícias 28-04-2026 Lilian Russo

Desafios e Perspectivas no Registro de Genéricos veterinários

Desafios e Perspectivas no Registro de Genéricos VeterináriosUm encontro estratégico para discutir regulamentação, avanços e tendências do setor.???? 8 de maio de 2026???? Câmara Municipal de São Paulo???? inscreva-se!https://forms.gle/curzU6CAkYGNESL28

Read more

INAEP - composição

Notícias 28-04-2026 Lilian Russo

INAEP - composição

A Instância Nacional de Ética em Pesquisa (Inaep) é um órgão colegiado independente, vinculado ao Ministério da Saúde, que representa um avanço na modernização do sistema de ética em pesquisa no Brasil. Sua atuação contribui para a redução de prazos, a ampliaçã...

Read more

Nova Plataforma Nacional de Pesquisa

Notícias 11-04-2026 Lilian Russo

Nova Plataforma Nacional de Pesquisa

A 1ª Reunião Ordinária, no âmbito da Secretaria de Ciência, Tecnologia e Inovação em Saúde – SCTIE/MS é um passo concreto e significativo rumo à institucionalização de uma plataforma que está sendo construída com responsabilidade, escuta ativa e participação plural.

Read more

Proteção e ciência: consulta pública vai orientar normas para biobancos e uso de material biológico humano

Notícias 10-04-2026 Lilian Russo

Proteção e ciência: consulta pública vai orientar normas para biobancos e uso de material biológico humano

A Instância Nacional de Ética em Pesquisa (Inaep), colegiado do Ministério da Saúde, publicou no Diário Oficial da União (DOU) de 02/04, uma consulta pública para definir parâmetros para a criação, governança e operação de biobancos, locais onde são armazenados, por longo prazo, mate...

Read more

Formulário de inscrição do processo seletivo de especialistas para compor a Instância Nacional de Ética em Pesquisa – INAEP

Notícias 02-04-2026 Lilian Russo

Formulário de inscrição do processo seletivo de especialistas para compor a Instância Nacional de Ética em Pesquisa – INAEP

Acesse o formulário de inscrição do processo seletivo de especialistas para compor a Instância Nacional de Ética em Pesquisa – INAEP:

Read more

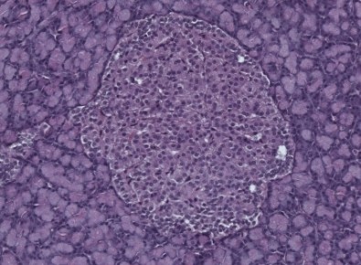
Hormônio do tecido adiposo protege células que secretam insulina e reverte danos da obesidade, diz estudo

tecidoadiposo1A adiponectina, um tipo de hormônio liberado pelo tecido adiposo, tem papel duplamente importante na preservação da função pancreática: em pessoas magras ela protege as células beta, responsáveis pela secreção de insulina; e, em indivíduos com obesidade, reverte danos estabelecidos nesse tecido. A descoberta, feita por pesquisadores do

Instituto de Química da Universidade de São Paulo (IQ-USP) e publicada na revista Aging Cell, faz a molécula despontar como potencial alvo terapêutico.

Dados divulgados pela Organização Mundial de Saúde (OMS) em 2022 indicam que mais de 1 bilhão de pessoas no mundo são obesas, sendo 650 milhões de adultos, 340 milhões de adolescentes e 39 milhões de crianças. Na próxima década, segundo a Federação Mundial da Obesidade, mais da metade da população mundial (cerca de 4 bilhões de pessoas) será afetada pela doença, que diminui a expectativa de vida e aumenta a incidência de disfunções relacionadas à idade. A principal delas é justamente a desregulação das células beta do pâncreas, que leva à secreção inadequada de insulina e, consequentemente, ao diabetes do tipo 2.

Em testes prévios feitos em modelo animal, pesquisadores do Laboratório de Metabolismo Energético do IQ-USP haviam mostrado que, em 24 horas, células beta incubadas com soro de ratos magros e obesos sofriam alterações: no primeiro caso, passavam a funcionar melhor porque suas mitocôndrias se tornavam mais capazes de produzir ATP (molécula que fornece energia para a célula) e, consequentemente, de sinalizar a secreção de insulina; e, no segundo, sua integridade era prejudicada, apresentando efeito oposto.

Para confirmar esses achados em humanos, o grupo analisou amostras sanguíneas de homens e mulheres magros e obesos do Biobanco do A.C. Camargo Cancer Center.

“Conseguimos demonstrar que mulheres magras induzem uma resposta muito boa no que se refere à respiração das células e à secreção da insulina e vimos que a situação ia se deteriorando em mulheres obesas, homens magros e homens obesos, nessa ordem”, relata Ana Cláudia Munhoz, primeira autora do artigo e pós-doutoranda no IQ-USP.

“Como sexo e gordura corporal pareciam estar envolvidos no processo, levantamos e confirmamos por experimentos laboratoriais a hipótese do envolvimento da adipocina [hormônio liberado pelo tecido adiposo] adiponectina, que tem função importante na regulação da mitocôndria e se apresenta em maior quantidade em mulheres.”

“Pela primeira vez, foi possível observar que níveis aumentados de adiponectina encontrados no plasma magro são responsáveis por preservar a função das células beta”, conta Alicia Kowaltowski, professora do Departamento de Bioquímica do IQ-USP e coordenadora da investigação. “Em obesos, o hormônio conseguiu reverter 100% dos danos – um dos efeitos científicos mais marcantes que já observei.”

As pesquisadoras destacam que talvez a adiponectina não seja o único fator em falta no sangue de pessoas obesas, já que o diabetes é uma doença multifatorial. Trata-se, porém, de um agente de peso, com a capacidade de modular a função das células beta.

Alvo terapêutico

O estudo, que contou com apoio da FAPESP por meio de dois projetos (13/07937-8 e 20/06970-5), reforça a importância de se encontrar mecanismos moleculares envolvidos na obesidade e sua ligação com outros problemas de saúde para melhorar o tratamento e quebrar o estigma: trata-se de uma doença, com fatores pessoais e genéticos, em nada relacionada à falta de controle pessoal. Também representa mais um passo no entendimento de importantes questões relacionadas, como, por exemplo, sua diferente ocorrência em homens e mulheres.

Em relação às células beta especificamente, a descoberta traz duas boas notícias para o futuro. Primeiro, indica que problemas decorrentes da obesidade são tratáveis; e, segundo, podem ser modulados em curto prazo, abrindo uma oportunidade promissora no desenvolvimento de novas estratégias terapêuticas.

“A adiponectina em si não pode ser usada em tratamentos porque se trata de uma proteína já presente em grande quantidade no organismo, diferentemente da insulina. Porém, indica uma nova via para a qual podem ser desenhadas novas moléculas terapêuticas”, acredita Kowaltowski. “Já começamos a estudar, por exemplo, drogas sabidamente ativadoras de processos mediados por esse hormônio.”

As pesquisadoras, no entanto, fazem questão de ressaltar que, por ora, não existe nenhum tratamento capaz de aumentar a adiponectina no sangue, a não ser emagrecer e diminuir a adiposidade central por meio de restrição calórica e prática de exercícios. “É importante lembrar que nenhum produto eventualmente criado com essa finalidade tem respaldo científico no momento. Portanto, vale ficar atento às falsas promessas de charlatões da internet”, alerta Munhoz.

O artigo Adiponectin reverses β-Cell damage and impaired insulin secretion induced by obesity pode ser lido em: https://onlinelibrary.wiley.com/doi/10.1111/acel.13827.

Por Julia Moióli | Agência FAPESP –

Deixe um comentário

Certifique-se de preencher os campos indicados com (*). Não é permitido código HTML.